Αισθητική Λεύκανση
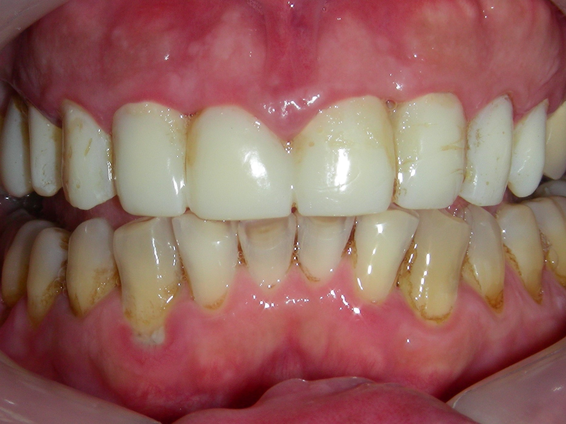
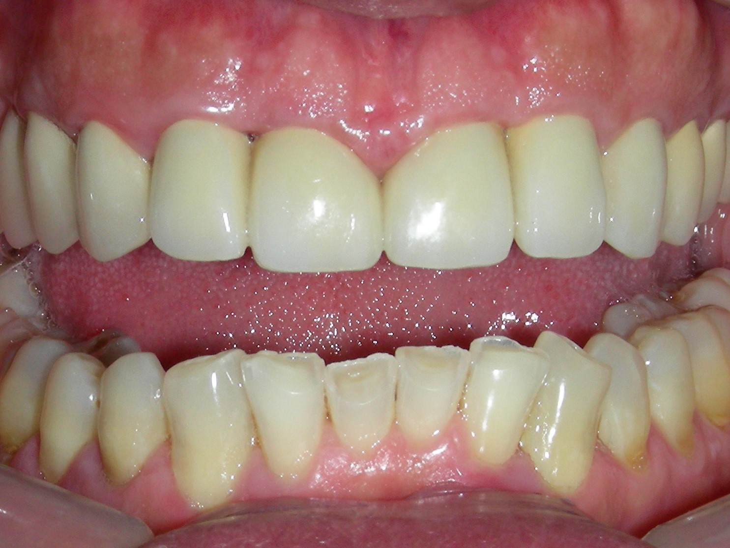
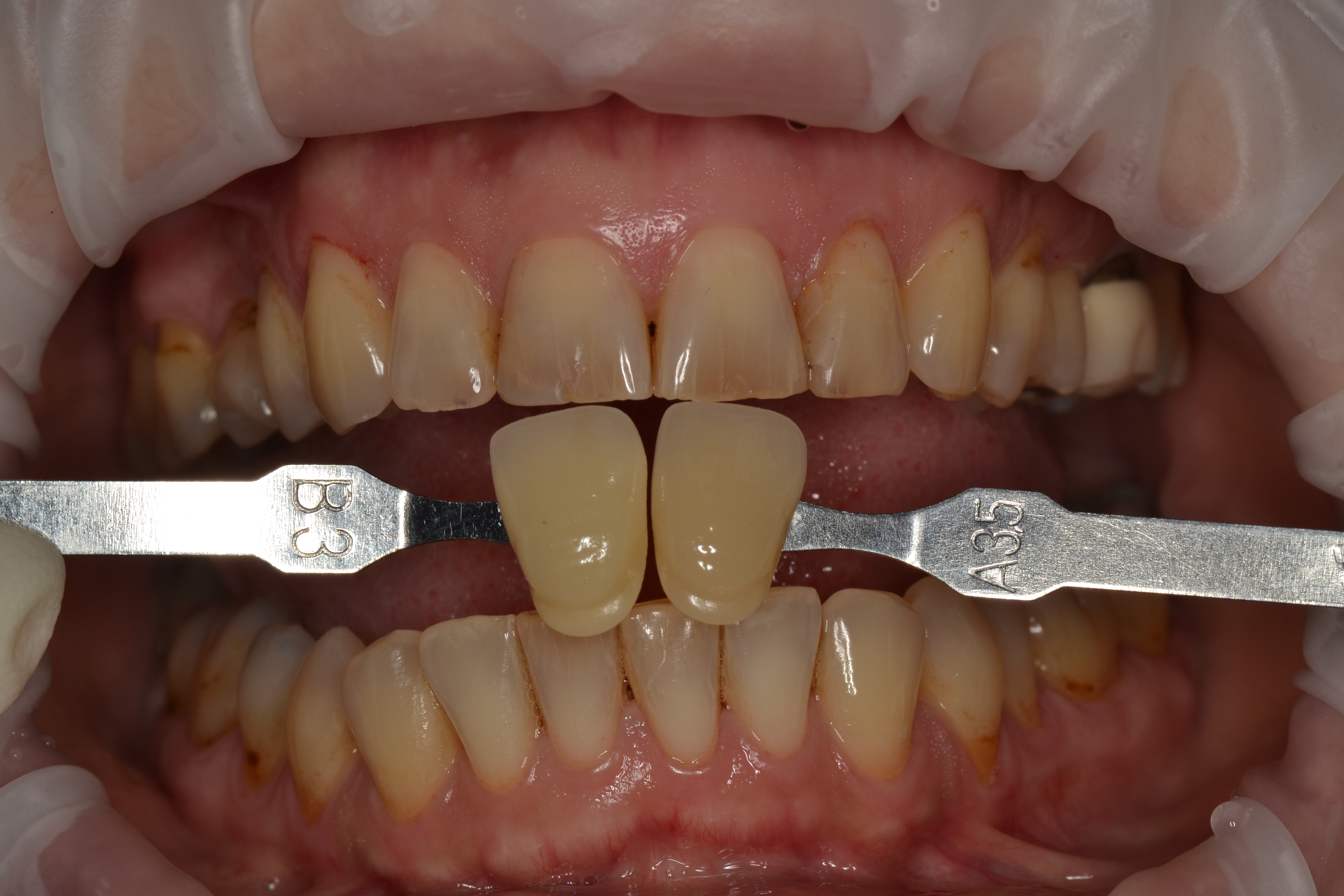
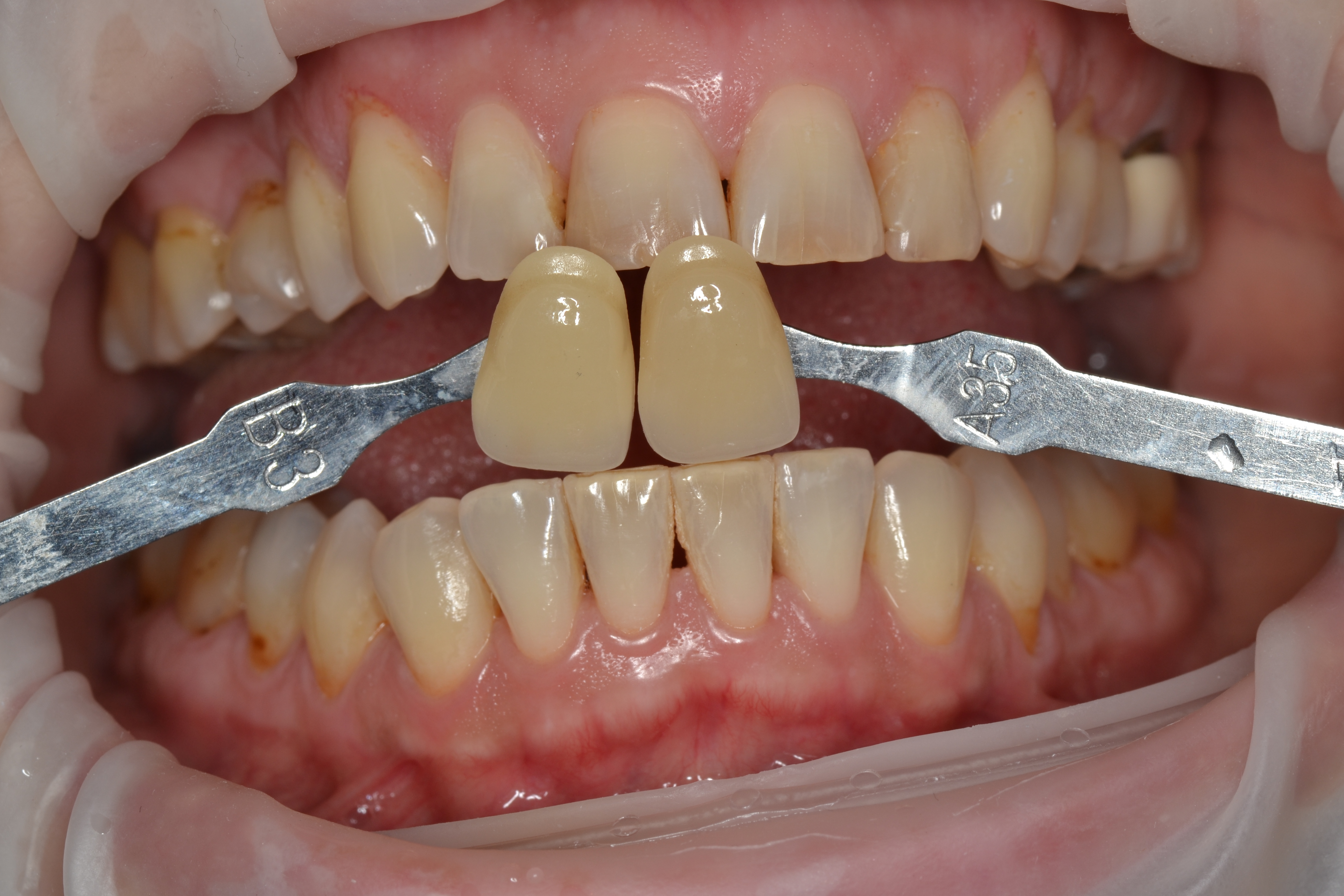
Ο ασθενής αυτός ήθελε να βελτιώσει το χρώμα των κάτω δοντιών του. Ακολουθήσαμε την διαδικασία λεύκανσης ιατρείου και μετά από 3 ραντεβού το χρώμα βελτιώθηκε αισθητά.
Στα άνω δοντια κατασκευάστηκαν νέες στεφάνες πορσελάνης για να προσομοιάζουν το χρώμα των κάτω δοντιών.
Η βελτίωση στο χαμόγελο του ασθενούς είναι αισθητή.
Το αποτέλεσμα μετά την λεύκανση ικανοποίησε τόση εμάς οσο και την ασθενή μας.
ΥΠΗΡΕΣΙΕΣ
ολοκληρωμένη περίθαλψη χρησιμοποιώντας τα πιο σύγχρονα μέσα και εξατομικευμένα πλάνα θεραπείας για τις ανάγκες εκάστοτε ασθενή.










