Dental Cases

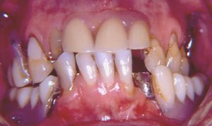
Full Mouth Rehabilitation

with fixed and removable prostheses on implants

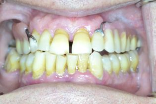
This 58-years old patient presented at the practice wearing an old worn set of dentures. He had great difficulty in eating and speaking with his dentures in.

A decision was made to place 2 implants in his upper jaw and 3 implants in his lower jaw and restore his smile and function with upper implant-retained crowns and an implant-supported fixed denture in the lower jaw.

Full Mouth Rehabilitation

with fixed bridges on implants

The 63-years old female patient shown in the photos presented in our practice with badly worn dentures. It was extremely difficult for her to eat and speak with the dentures in the mouth. She requested fixed bridges on dental implants.

Following a thorough radiographic examination, 6 implants were placed in the upper jaw and another 6 implants in her lower jaw.

After osseointegration of the implants was completed, the patient received single fixed implant-supported bridges in her maxilla and mandible as shown in the photos.

Her mastication and speaking were restored back to normal.

 

Replacing the old removable partial chrome denture

with fixed implant bridges

Our 68-years old patient wore this removable partial chrome denture for many years and was complaining about instability and difficulty in chewing.

Following detailed planning, 2 implants were placed in his upper right jaw and 3 implants were placed in his upper left jaw.

The implants were restored with fixed bridges and our patient was finally able to get rid of his chrome denture and smile and eat with confidence again.

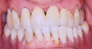
Full Upper Jaw Rehabilitation

with a fixed bridge on implants

This 45-years old patient was referred to our practice for replacement of his failing upper bridge. The teeth supporting the bridge were badly decayed and had to be removed.

A decision was made to place 5 implants in his upper jaw and restore his function and aesthetics with a fixed bridge on implants.

The patient was extremely happy with the final result and especially with his new smile as you can see in the final photo.

SERVICES

Comprehensive dental care using the most up-to-date devices and personalized treatment plans for the needs of each patient.

Follow Us

Time Schedule

Monday - Friday 09.00 - 21.00

Χρησιμοποιούμε cookies για να βελτιώσουμε τον ιστότοπό μας και την εμπειρία σας όταν το χρησιμοποιείτε. Τα cookies που χρησιμοποιούνται για την ουσιαστική λειτουργία αυτού του ιστότοπου έχουν ήδη οριστεί. To find out more about the cookies we use and how to delete them, see our privacy policy.

  I accept cookies from this site.
EU Cookie Directive plugin by www.channeldigital.co.uk