How can implants improve the stability of full dentures?
This 64-years old patient in the photo lost all his lower teeth that retained his chrome denture.
The result was denture instability and chewing difficulty.
2 dental implants were placed in his lower jaw and a new full denture was constructed.
The denture clipped onto the implants with the use of ball attachments shown in the photo.
A new upper full denture was also constructed.
The result was a massive improvement in the patient’s masticatory ability and function.
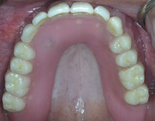
Our 53-years old patient came to the practice wearing an old set of full dentures which were loose and posed a great difficulty in eating.
A decision was made to place 4 implants in his upper jaw and 2 implants in his lower jaw.
A metal-reinforced full denture without palatal coverage was constructed for his maxilla and a reinforced full denture was made for his lower jaw that both clipped onto the implants using special attachments.
The fact that the top denture did not have any palate improved the patient’s taste perception and he was able to get used to it very quickly!
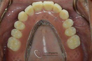
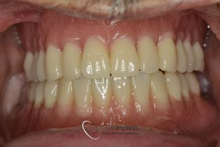
The patient shown in the photos came to our practice with a set of old worn full dentures. The teeth had been worn so badly over the years that the patient’s face has lost vertical height and acquired the so called “sad” face.
4 dental implants were placed in his upper jaw and a new full denture with clips was made. We made the denture without palatal coverage so that he would regain his taste and get used to it really quickly.
A new lower denture was also constructed.
The improvement in the patient’s facial appearance is evident from the photographs.
SERVICES
Comprehensive dental care using the most up-to-date devices and personalized treatment plans for the needs of each patient.






















