Composite Restorations
Restoration of Fractured Anterior Teeth with latest technology composite resins
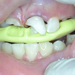
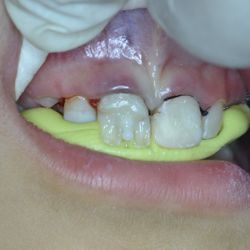
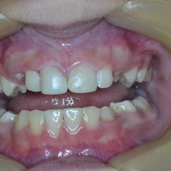
This 9-years old girl fractured her upper central incisors in an accident.
The teeth were root-treated and then restored to form and function using latest technology composite fillings restorations re-enforced with aesthetic fiber posts in a single appointment.
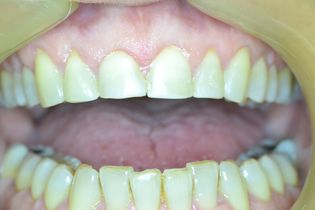
The smile of our little patient was back on her face in no-time!
This young lady came to our practice complaining about her chipped upper incisors.
Using Nano technology composite resins, we were able to restore the shape of her front teeth and give her smile back.
Restoration of Discolored Teeth using composite resin veneers
This young patient had completed an orthodontic treatment which had led to pulp necrosis in her upper right central and lateral incisor.
The teeth were root-treated and as a result, they were discolored.
We re-enforced the strength of these teeth using aesthetic fiber posts and restored their shade with nanotechnology composite resin veneers.
Aesthetic restoration of Decayed Front Teeth
This 15-years old patient came to our practice for rehabilitation of his front decayed teeth.
Following removal of the decay, tooth fillings were done using a nanotechnology composite resin.
Restoration of a Fractured posterior tooth
This patient presented in our practice with a partially fractured upper tooth.
The previous silver filling was removed and a new aesthetic composite resin filling was done to restore the tooth’s form and function.
Composite Resin Veneers
This 14-years old patient had brown stains on her enamel since birth.
The shape of her central incisors was also affected.
We performed two composite resin veneers in a single appointment, without anesthesia or tooth grinding and restored her smile back.
SERVICES
Comprehensive dental care using the most up-to-date devices and personalized treatment plans for the needs of each patient.



























