All Ceramic Veneers
Redesigning and restoring the smile with latest technology E-Max ceramic veneers
The upper anterior teeth in this young patient were discoloured due to multiple composite fillings..
The shade of the teeth was restored with all-ceramic E-Max veneers.
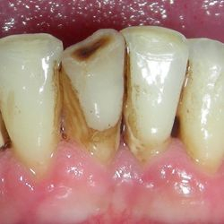
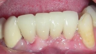
The worn and discolored lower central and lateral incisors in this heavy smoker were restored to their previous shade using 4 all-ceramic E-max veneers.
This young lady came to our practice complaining about the position of her upper left incisors and the position of her midline between her central incisors.
Following careful evaluation and analysis, we redesigned her smile using 4 E-Max all-ceramic veneers.
The patient was extremely happy with her new smile.
This patient presented in our practice with discolored front upper teeth.
Following careful treatment planning and discussion with her, we restored her smile with a combination of all-ceramic E-Max veneers and zirconia/ceramic crowns on her upper front teeth with great results!
This lady presented in our practice complaining about her short and worn anterior upper teeth.
A decision was made to redesign her smile using all-ceramic E-max veneers.
A digital impression with TRIOS intraoral scanner was made and 6 veneers were digitally produced.
The patient was extremely happy with the final result.
SERVICES
Comprehensive dental care using the most up-to-date devices and personalized treatment plans for the needs of each patient.


















