Inlays / Onlays
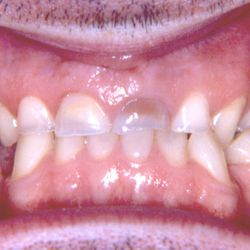
This 43-years old patient suffered from chronic regurgitation which led to dental erosion of his upper and lower teeth.
We restored his front teeth with composite resin fillings and his back teeth with lab-made composite resin onlays.
The improvement in his smile and chewing was immediate.
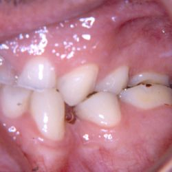
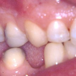
The lower left molar in this young lady had been root-treated. We decided to restore the tooth and protect it from future fracture by placing a lab-made composite onlay.
The procedure was completed in 2 appointments.
This was a conservative approach to the alternative of a full crown which would require further and more catastrophic grinding of the remaining tooth.
The tooth in the photo fractured partially.
We decided to restore it by removing the old silver filling and placing a new conservative lab-made composite resin onlay to protect the tooth’s vitality.
This young lady came to our practice with a fractured upper premolar.
The tooth was root-treated.
We performed a minimal grinding procedure and restored it with a lab-made composite resin onlay, thus preserving much of the tooth’s structure.
SERVICES
Comprehensive dental care using the most up-to-date devices and personalized treatment plans for the needs of each patient.



















