Dentures
Partial chrome denture
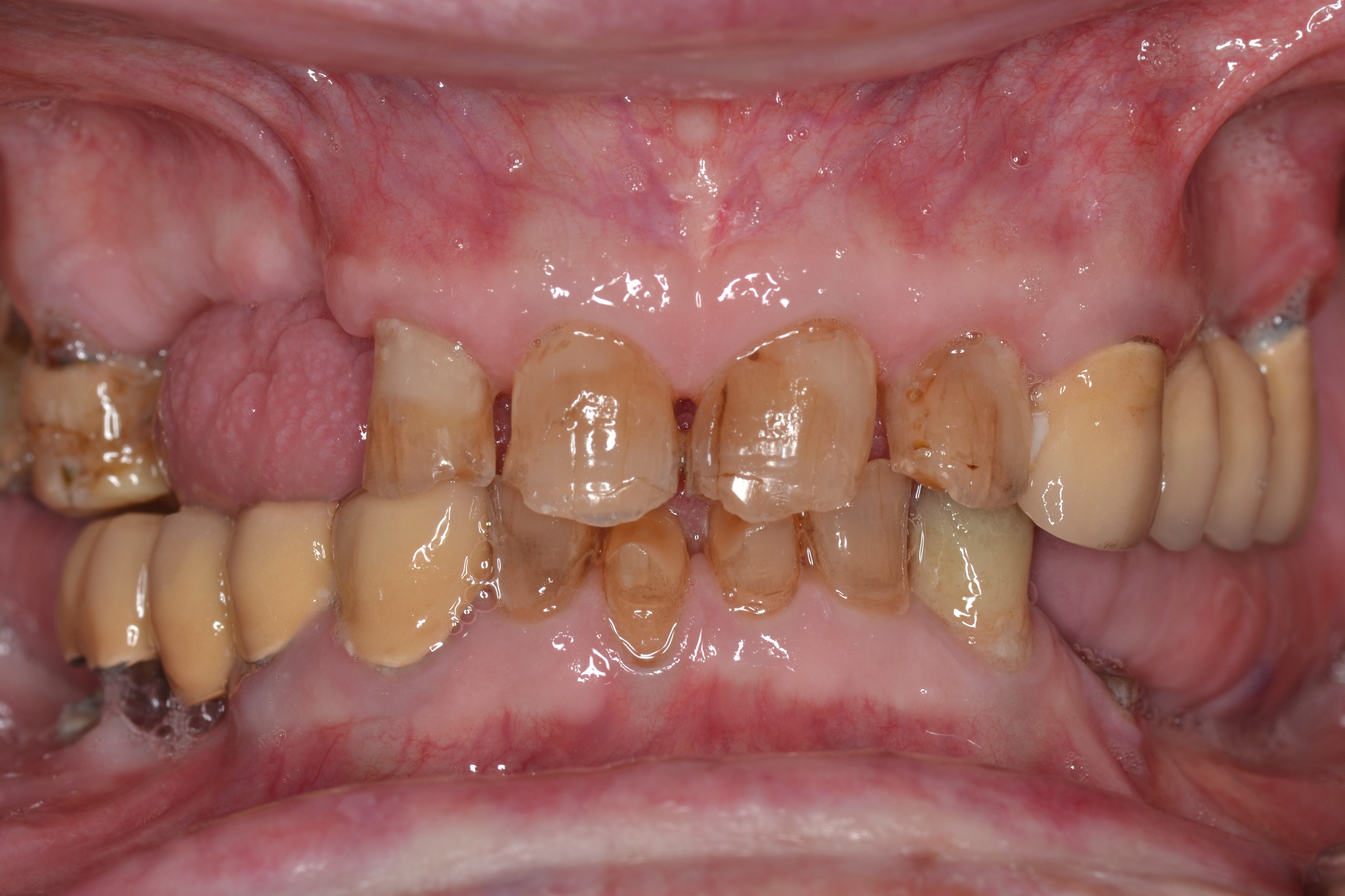
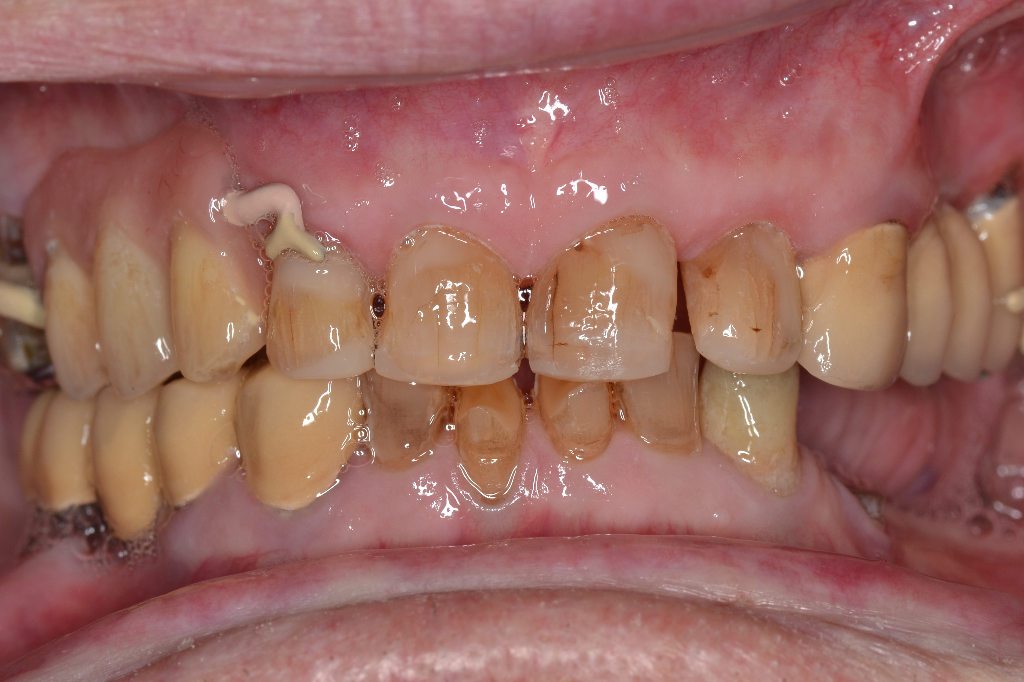
This 81-years old patient was missing a few teeth in his upper right jaw.
We made a partial chrome denture with white metal clasps to restore his appearance and function.
We also did some composite resin fillings on his front teeth to restore his smile.
He was extremely happy with the improvement in his aesthetics.
Full acrylic denture
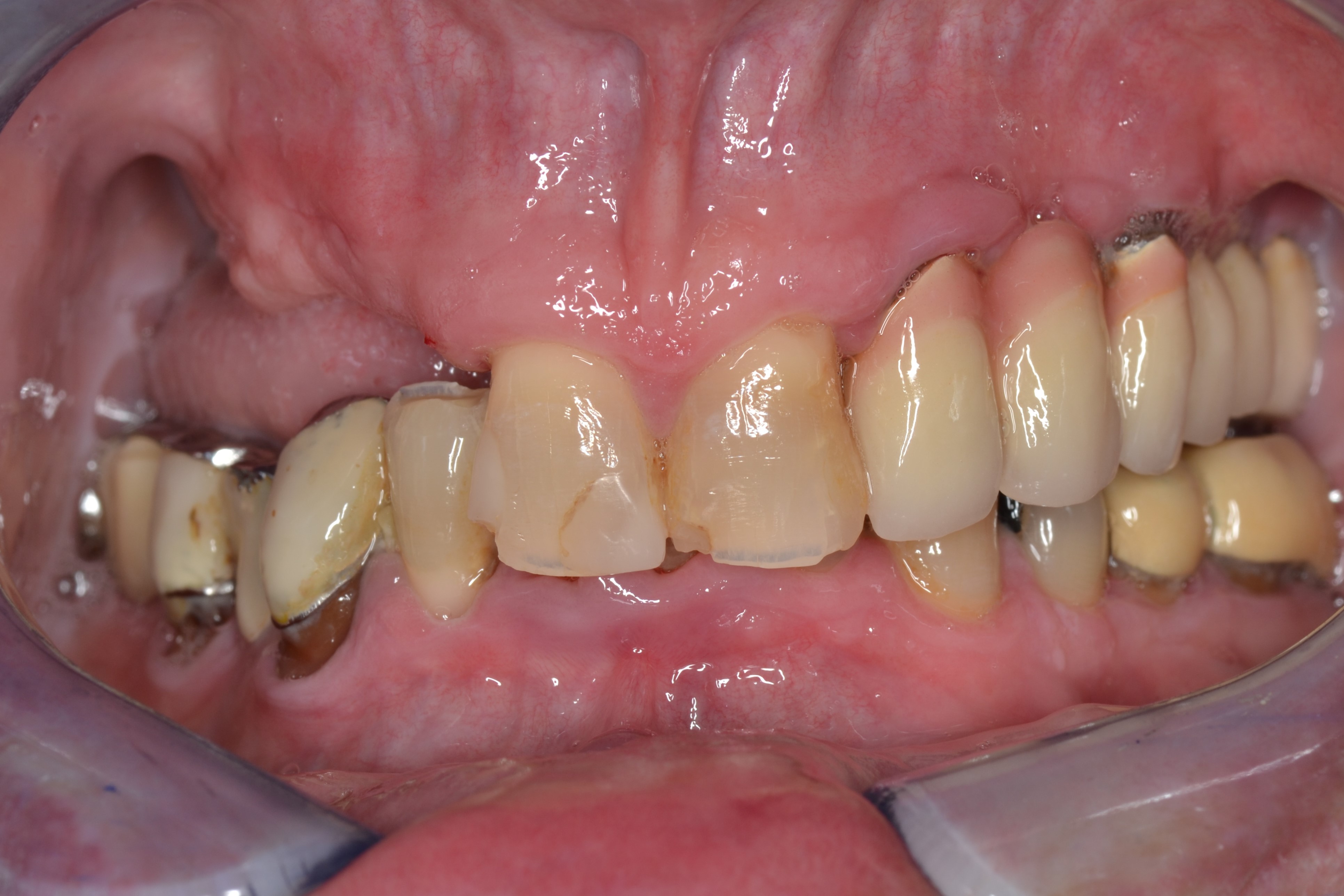
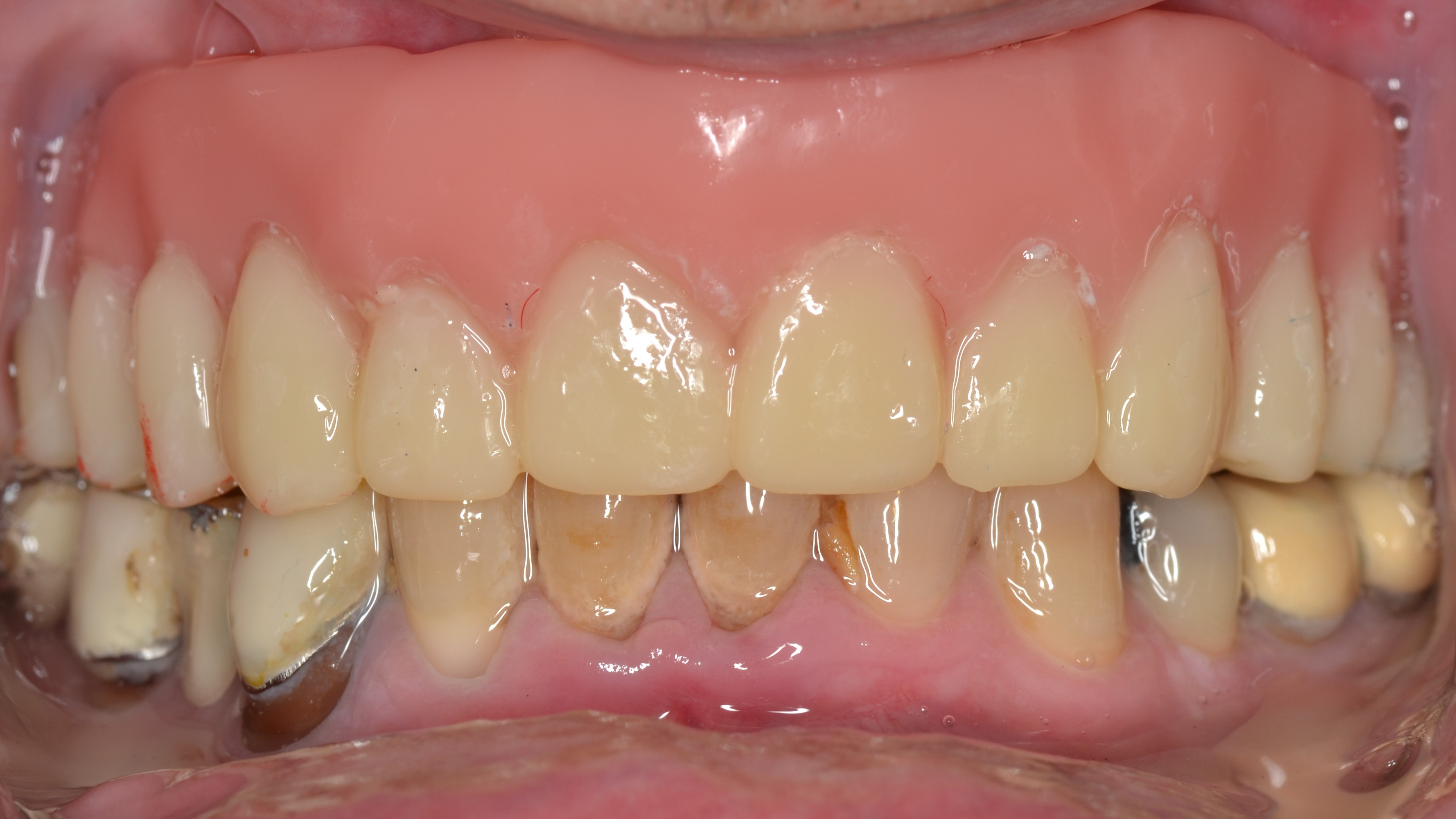
This 60-years old patient was missing a few teeth in his upper right jaw.The remaining teeth were mobile and tender when eating.
We extracted the remaining upper teeth and made him a full acrylic denture.
He was extremely happy with the improvement in his aesthetics and function.
SERVICES
Comprehensive dental care using the most up-to-date devices and personalized treatment plans for the needs of each patient.








